Bölcsességfog eltávolítás

A leggyakoribb szájsebészeti beavatkozás a fogeltávolítás. Ennek azonban többféle módja ismert: az egyszerű foghúzástól kezdve a bonyolultabb műtéti eltávolításokig szerteágazó lehet. Gyakori probléma a bölcsességfogak előtörési nehézsége például keskeny állcsont miatt, ilyenkor műtéti eltávolításuk tanácsos.

Mikor indokolt a bölcsességfog eltávolítása?

A bölcsességfog eltávolítására akkor van szükség, ha a fogak előtörése akadályozott, például szűk hely miatt, vagy ha a fogak fájdalmat és gyulladást okoznak. 

Ilyen esetekben a műtéti eltávolítás javasolt, hogy megelőzzük a komolyabb problémákat, mint a fogtorlódás vagy fertőzés.

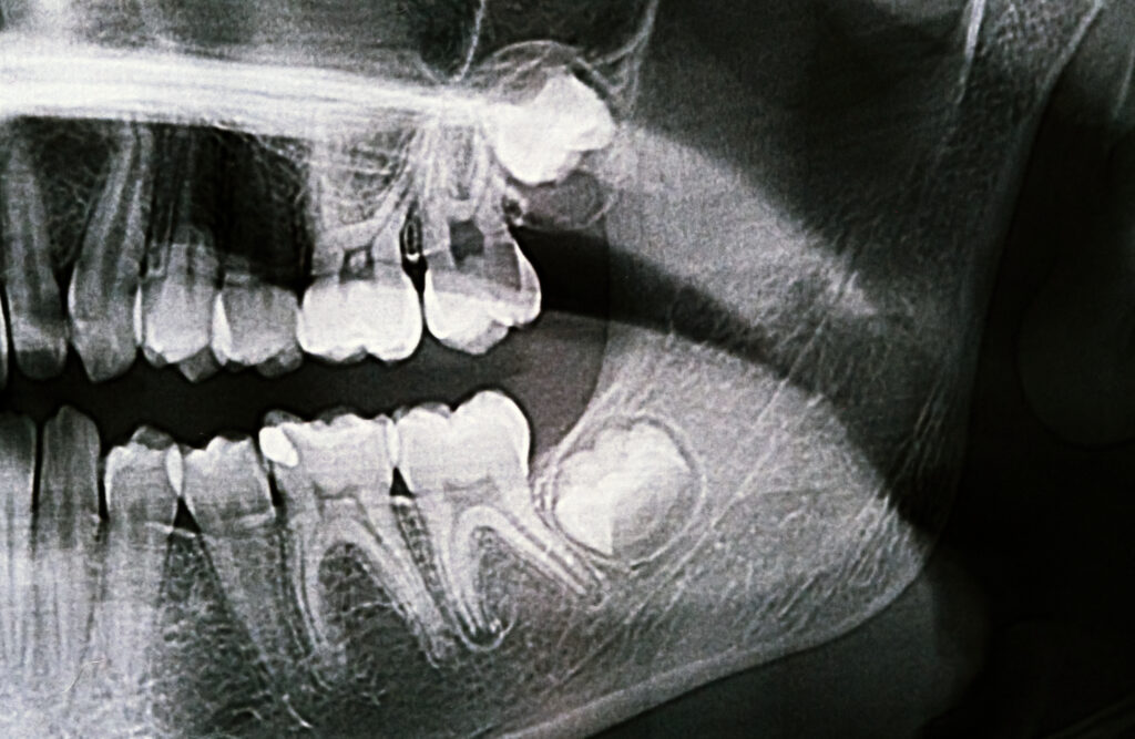
Bölcsességfog akadályozott előtörése

Hogyan zajlik a fájdalommentes beavatkozás?

A beavatkozás előtt panorámaröntgent (indokolt esetben CT felvételt) készítünk, hogy pontos képet kapjunk a fog helyzetéről.

Az eltávolítás helyi érzéstelenítés mellett történik, ami teljesen fájdalommentessé teszi a folyamatot. Bonyolultabb esetekben, például ha a fog beékelődött, szájsebészeti műtétre van szükség.

Alsó bölcsességfog eltávolításának menete

Van különbség az alsó és felső bölcsességfog eltávolítása között?

Általában az alsó bölcsességfogak eltávolítása bonyolultabb, mivel beágyazódnak az állcsontba, vagy elakadhatnak a szomszédos fogak mellett. Ez szájsebészeti beavatkozást igényel, és hosszabb gyógyulási idővel jár. 

A felső bölcsességfogak eltávolítása viszont egyszerűbb, mivel ezek kevésbé beékelődöttek, és az eltávolításuk kevesebb komplikációval jár. A felső fogak elhelyezkedése miatt a gyógyulás is gyorsabb.

Hogyan készüljön a fogászati beavatkozásra?

A műtét napjára való felkészülés érdekében az alábbiakat érdemes figyelembe venni:

  • Étkezés – ha helyi érzéstelenítést kap, könnyű ételeket fogyaszthat a kezelés előtt. Ha altatásra van szükség, az orvos utasítása szerint ne egyen vagy igyon a beavatkozás előtt.
  • Kényelmes ruházat – viseljen kényelmes, laza ruházatot.
  • Társ – kérjen meg valakit, hogy kísérje el, mivel a beavatkozás után szédülést is tapasztalhat.
  • Gyógyszerek – kérdezze meg orvosát a szedett gyógyszerekről, különösen, ha vérhígítót használ. A műtét után otthoni fájdalomcsillapításra lehet szükség, a bekészített gyógyszerekkel kapcsolatban konzultáljon orvosával.

Bölcsességfog műtét utáni teendők

Az eltávolítást követően fontos a megfelelő utókezelés. A páciensek fájdalomcsillapítót kapnak, és tanácsokat a száj higiéniájára és a helyes étkezésre vonatkozóan. 

A fájdalmas, nyílt seb gyógyulása általában néhány napig tart, de előfordulhat, hogy a duzzanat és érzékenység egy hétig is tapasztalható.

Bölcsességfogak eltávolítása utáni szövődmények

Bölcsességfog eltávolítása után néhány lehetséges szövődmény lehet:

  • Duzzanat és fájdalom – az eltávolítás után duzzanat, érzékenység és fájdalom alakulhat ki, ami néhány napig tart.
  • Vérzés – enyhe vérzés gyakori az első 24 órában.
  • Fertőzés – ha a seb nem gyógyul megfelelően, fertőzés alakulhat ki (ritka esetben)

Kapcsolat
Rendelő
Üröm, Fő utca 41. (Napudvar)
E-mail: info@denturom.hu
Tel: +36 20 372 8879